
En coulisse
Au secours, les appareils dentaires ont envahi la bouche de tous les enfants
par Martin Rupf

Le fait que leur enfant ait des dents de craie est une source d'inquiétude et de questions pour de nombreux parents. Je suis tout à fait d'accord. Pour trouver des réponses, je me suis entretenu avec une spécialiste.
Lors du contrôle dentaire de notre fille de cinq ans au printemps, nous avons d'abord poussé un soupir de soulagement. Elle n'a pas de caries, donc pas de trous dans les dents. Et comme c'est souvent le cas, la bonne nouvelle est suivie d'une mauvaise : Zoé a des dents de craie. Oh là là, elle aussi. Car j'ai lu il n'y a pas si longtemps que le diagnostic des dents de craie chez les enfants était en augmentation.
Les jours du dentifrice collant Bubble Gum de Zoé sont donc comptés. Depuis que nous savons qu'elle a des dents de craie, nous la brossons avec un dentifrice spécial pour enfants, sur les conseils du dentiste. Celui-ci a une teneur élevée en fluorure pour renforcer l'émail des dents. De plus, nous lui brossons les dents une fois par semaine avec un gel spécial au fluor. Même si Zoé trouve cela horrible, nous devons passer par là ensemble.
Le thème des dents de lait me préoccupe depuis lors. Je veux en savoir plus et je me mets à la recherche d'un spécialiste. Par l'intermédiaire de l'Association suisse de pédodontie, je tombe sur Eirini Stratigaki. Elle est médecin-chef à la clinique de pédodontie du Centre universitaire de médecine dentaire de Bâle.

Qu'est-ce qu'une dent de craie ?
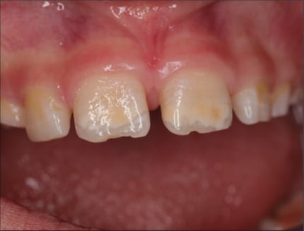
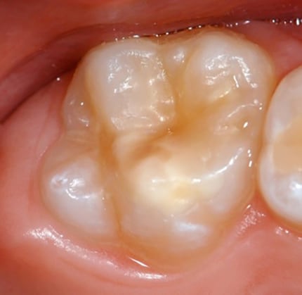
Eirini Stratigaki: Les dents crayeuses sont friables en raison d'un défaut qualitatif de l'émail. Le terme médical pour ce phénomène est l'hypominéralisation molaire-incisive (MIH). Les molaires sont les grandes dents du fond, les incisives les dents de devant. Les dents affectées peuvent être décolorées et se casser plus facilement. Elles sont également souvent très sensibles au chaud, au froid, au sucré ou au toucher. C'est précisément cette sensibilité qui peut conduire les enfants à avoir peur d'aller chez le dentiste.
**Dans la dentition de lait de notre fille, il y a des dents de craie. Ses dents définitives seront-elles inévitablement touchées ? **
Le risque existe, en tout cas. Les dents de lait et les dents définitives ne poussent pas toutes en même temps. Si les molaires de lait postérieures sont touchées par le DIH, il y a plus de chances qu'il s'agisse également des premières molaires définitives, car elles se forment à peu près en même temps. Selon les études, le risque est alors de 50 pour cent. Si la dentition de lait de l'enfant ne comporte pas de dents de craie, le risque est d'environ 15 pour cent.

**Quelle est la gravité d'avoir des dents de craie?**
Cela varie énormément. Certains enfants n'ont qu'une légère décoloration, d'autres ont des dents qui se cassent peu après leur éruption. Parfois, seules les premières molaires et incisives définitives sont touchées, mais parfois aussi quelques dents de lait.
**Quelle est la cause des dents de lait ? **
On ne sait pas encore exactement comment apparaissent les dents de craie. Les spécialistes s'accordent toutefois à dire qu'une combinaison de prédispositions et d'influences extérieures est responsable de l'apparition des dents de craie. Les derniers mois de la grossesse et les premières années de la vie de l'enfant, lorsque la plupart des dents permanentes apparaissent et se forment, sont particulièrement sensibles à ce phénomène. Parmi les facteurs de risque possibles, on peut citer les complications à la naissance, les maladies de la petite enfance, les carences en vitamine D ou les polluants de l'environnement.

**Que puis-je faire contre les dents de craie?**
Il existe de nombreuses façons de traiter les dents de craie, qu'il s'agisse de dents de lait ou de dents définitives. Le dentiste établit un plan de traitement individuel avec les parents et l'enfant. Celui-ci est adapté à la gravité des dents de craie et à l'âge de l'enfant. Le plan de traitement comprend à la fois des mesures à court terme pour soulager la douleur et des stratégies à moyen et long terme pour maintenir la stabilité des dents. Il existe désormais des instructions précises émanant de groupes internationaux de spécialistes qui proposent le meilleur traitement possible des dents crayeuses. Le plus grand défi du traitement est la sensibilité à la douleur des dents concernées. C'est pourquoi un diagnostic précoce et un traitement doux sont particulièrement importants.
**L'impression générale est que les dents de craie ont fortement augmenté ces dernières années. Il semblerait que de plus en plus d'enfants en souffrent, le diagnostic étant même parfois qualifié de "nouvelle maladie populaire". Est-ce vrai ? **
En fait, il semble que les dents de craie soient de plus en plus fréquentes. Mais ce n'est probablement pas parce qu'il y a effectivement plus de cas, mais parce que nous les détectons mieux aujourd'hui.
**Pouvez-vous être plus précis ? **
En Suède, les dents crayeuses ont été étudiées plus en détail pour la première fois à la fin des années 1970 et au début des années 1980. A la même époque, les cas de caries ont diminué, ce qui a mis les dents crayeuses sur le devant de la scène. On a ainsi eu l'impression que cette maladie était en augmentation. En réalité, des recherches archéologiques montrent que les dents de craie existent probablement depuis bien plus longtemps. Aujourd'hui, nous, les dentistes, savons mieux reconnaître les dents crayeuses et les distinguer des caries. Elles sont donc plus souvent diagnostiquées. Parallèlement, les caries sont devenues plus rares grâce à une meilleure hygiène dentaire, ce qui rend les dents crayeuses encore plus visibles.
Je suis un papa et un mari pur-sang, un nerd et un éleveur de poulets à temps partiel, un dompteur de chats et un amoureux des animaux. J'aimerais tout savoir, mais je ne sais rien. Je sais encore moins de choses, mais j'en apprends tous les jours. Ce qui me plaît, c'est le maniement des mots, parlés et écrits. Et c'est ce que je peux démontrer ici.
Des informations intéressantes sur le monde des produits, un aperçu des coulisses des fabricants et des portraits de personnalités intéressantes.
Tout afficher
En coulisse
par Martin Rupf

En coulisse
par Stephan Lamprecht

En coulisse
par Michael Restin