
Produkttest
Tiefer Schlaf trotz Schnarchen – das können die Soundcore Sleep A30 Schlafkopfhörer
von Siri Schubert

Ich war Skifahren. Dabei brach ich mir die Hand. Es ist zum Haareraufen, wenn ich denn welche hätte. Dafür habe ich jetzt drei Drähte in meiner linken Hand. Und Sport-Kopfhörer, die mir durch die Operation halfen.
Bevor es in den Operationssaal geht, hier kurz zur Erinnerung die Vorgeschichte:
Der zweite Narkosearzt fragt mich nach meiner Playlist für die anstehende Operation und ob ich gerne etwas zur Beruhigung hätte. Narkoseärzte, die Hüter höllisch geiler Substanzen. Ich lehne jedoch dankend ab und entscheide mich für Rammstein. Es gibt da auf Spotify ein ebenfalls höllisch geiles Konzert der Deutschen von 2017 aus Paris. Ausserdem habe ich heute auf Operation überhaupt keine Lust. Das passt also.
Apropos «Keine Lust» von Rammstein. Da heisst es unter anderem:
Ich bleibe einfach liegen
Und wieder zähle ich die Fliegen
Lustlos fasse ich mich an, und merke bald
Ich bin schon lange kalt, so kalt
Mir ist kalt, so kalt, mir ist kalt
Vom Radiojournalisten zum Produkttester und Geschichtenerzähler. Vom Jogger zum Gravelbike-Novizen und Fitness-Enthusiasten mit Lang- und Kurzhantel. Bin gespannt, wohin die Reise noch führt.
Unsere Expertinnen und Experten testen Produkte und deren Anwendungen. Unabhängig und neutral.
Alle anzeigen«Möchten Sie zur Ablenkung Musik hören»? Ich liege im OP des Kantonsspitals Bruderholz und warte darauf, dass der Chirurg meine Hand aufschneidet. Um mich herum herrscht emsiges Treiben. Oberarzt, Assistenzarzt, zwei Narkoseärzte und mehrere Krankenschwestern tun ihre Arbeit. Ich bin nicht sicher, ob ich richtig gezählt habe. So kurz vor einer Operation ist man als Patient kognitiv doch ein wenig eingeschränkt. Darum antworte ich auch nicht sofort auf die Frage der netten Narkoseärztin, ob ich Musik hören möchte. Deshalb wiederholt sie die Frage. Ja, ich möchte. «Das sind ja mal fancy Kopfhörer, die sie da haben», meint sie mit einem Blick auf meine Bose «SoundSportFree». Ja, sogar im OP mache ich noch Werbung für diese Sport-Kopfhörer. Es sind die Besten. Vom Sitz über den Klang und das Etui bis zur Akkulaufzeit stimmt für mich als Hobbysportler alles. Für einen Augenblick bildet sich eine kleine Traube Interessierter, um die Kopfhörer zu begutachten.

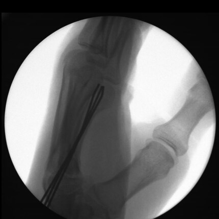
Mein linker Arm ist ein lebloses Stück Fleisch. Die Operation hat unterdessen begonnen. Der Chirurg schneidet und zieht die Drähte in die Hand. Ich fühle zwar absolut keinen Schmerz, aber es ruckelt in der Schulter. Zwischendurch hämmert er. Es macht mehrmals Klack Klack Klack. Und ich höre auch, wie der Chirurg die Drähte mit der Zange abkneift. Der Arm ist wie gesagt im Tiefschlaf und doch «spüre» ich, dass etwas in meinen Körper eindringt, was da nichts zu suchen hat. Es ist ein bisschen gruselig. Ich kann es nicht besser beschreiben.
«Sagen Sie es nur, wenn sie was zur Beruhigung wollen.» Der Narkosearzt meldet sich wieder. Ich schaue auf den Monitor: Der Puls liegt bei knapp 70 Schlägen pro Minute. Beinahe entspannt, trotz Rammstein in den Ohren. Aber der Blutdruck ist erhöht. Das ist natürlich auch dem Doc nicht entgangen. «Wollen Sie was?», wiederholt er. Ich antworte beinahe mit: «Ja, Super Skunk für 50 bitte». Lass den Spruch dann aber doch lieber bleiben und entscheide mich, auch die letzten Minuten der OP mit möglichst klarem Kopf hinter mich zu bringen. Dann ist es vorbei und die operierte Hand fein säuberlich verpackt.

«Alles gut?», will ich vom Chirurgen wissen. Soweit sei alles gut, meint dieser. Daumen hoch. Es seien einzig drei statt der ursprünglich geplanten zwei Kirschner-Drähte «verbaut». Naja, mehr ist immer besser. Der Chirurg kann sich ein Schmunzeln auf meine Bemerkung nicht verkneifen und meint nur: «In diesem Fall wäre weniger tatsächlich mehr».

Zurück in der PAHoA, der Perioperativen Anästhesie Holding-Area, mache ich mich langsam bereit, um nach Hause zu gehen. Mein linker Arm ist noch immer eine leblose Wurst, die schlaff neben mir hängt. Ich bekomme eine Schlinge, die meinen Arm in den nächsten sechs bis acht Stunden trägt. Solange dauert es in der Regel, bis die lokale Anästhesie nachlässt. Der Narkosearzt weist mich mehrmals darauf hin, den Arm solange in der Schlinge zu lassen oder ihn mit der rechten Hand zu führen. Ansonsten würde er unkontrolliert nach unten fallen. Alles klar, verstanden. Ich brauche nicht noch weitere Knochenbrüche. Dann mache ich mich auf den Heimweg.
Es wird viel über unser Gesundheitssystem gemotzt. Und ja, wenn ich daran denke, was meine Frau, meine Tochter und ich jeden Monat an Krankenkassenprämien abdrücken, bekomme ich gleich wieder hohen Blutdruck. Aber: Um 8 Uhr im Spital einrücken, um 13 Uhr wieder zu Hause, dazwischen mal rasch eine komplexe Hand-OP? Chapeau. Da kann man auch mal danke sagen. Also, herzlichen Dank an das ganze Team im Kantonsspital Bruderholz für euren Einsatz! Und einen herzlichen Gruss auch an Rammstein und Bose. Ihr habt mir die Operation erträglicher gemacht.
Operation geglückt, Patient tot. Natürlich nicht. Aber jetzt beginnt die mühsame Reha-Phase. Und ich mache Bekanntschaft mit der Muskelatrophie. Folge also hier rasch meinem Autorenprofil, bevor ich komplett dahinschwinde und klicke oben rechts auf den «Autor folgen»-Button.